Overview
What is Behcet's Disease?
Behcet's disease is a chronic inflammatory disease that affects and damages both arteries and veins.
Causes
While the cause of Behcet's disease is largely unknown, it is likely to be caused by:
- Genetics - patients who have the HLA-B5 and HLA-B51 genes are more likely to have the disease.
- Environment (e.g. infection).
Who are at Risk of Behcet’s Disease?
Behcet's disease is a relatively rare condition that is more commonly seen in Asia, the Middle East, Mediterranean and continent (particularly Japan). It affects both males and females of all age groups, with initial symptoms appearing from the age of 20 to 40. The disease is usually more severe in men.
Common presentation:
- Mouth ulcers - usually large, painful and recurring. They usually appear in crops (a few at a time) on the inner surface of the lips, gums, cheeks and tongue. Most are self-healing within seven to ten days.
- Genital ulcers - usually recurring and painful. Although they are found on the penis or vulva, they are not sexually transmitted.
- Skin rash - appears in different forms including acne-like rashes and red, raised, painful nodules.
- Eye inflammation (uveitis) - causes redness, pain and blurring of vision in one or both eyes. May lead to blindness.
- Arthritis - joints become swollen, red and painful due to inflammation. Commonly affected joints are the knees, ankles, elbows and wrists.
Photo retrieved from MedicineNet
Photo retrieved from Frontiers in Neurology
Less Common Complications:
- Vasculitis (inflammation of veins and arteries) - causes redness, pain and swelling in the arms or legs. Blood clots in blood vessels may occur.
- Inflammation of digestive system - causes abdominal pain, bleeding and/or rupture of the digestive system.
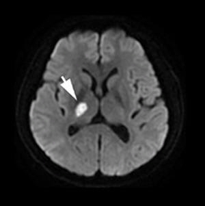
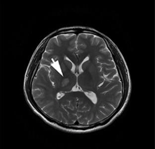
- Inflammation of nervous system - causes headache, fever, disorientation, poor balance and stroke.
Photo retrieved from Frontiers in Neurology
Detection & Treatment
How is Behcet's Disease Diagnosed?
Behcet's disease is diagnosed by taking a detailed history and physical examination. Patients are likely to have the disease if they have mouth ulcers that recur at least three times a year, together with two of the following symptoms:
- Genital ulcer.
- Uveitis-confirmed by an eye specialist.
- Typical skin rashes.
- A positive pathergy test (a special form of skin prick test).

(Example of a positive pathergy test. Photos retrieved from American Behcet's Disease Association.)
How is Behcet’s Disease Treated?
Although there is currently no cure for Behcet's disease, effective treatments are available to alleviate the symptoms and control the condition. The modes of treatment are:
- Patient education.
- Medications.
- Lifestyle changes (e.g. ensuring sufficient rest, regular exercises, smoking cessation).
Medications
- Creams, gels and ointments-applied over rashes or ulcers on the skin, mouth or genitals.
- Mouth rinses.
- Eye drops.
- Colchicine - helps with oral and genital ulcers.
- Apremilast-helps with oral ulcers.
- Non-steroidal anti-inflammatory drugs (NSAIDs) - useful to reduce inflammation for patients with arthritis.
- Corticosteroids - used for patients with more severe disease to control inflammation quickly.
- Immunosuppressants - used for patients with more severe disease to control inflammation.
- Biologics - medical products that are extracted or produced from biological sources. These agents are expensive and are reserved for patients with Behcet's Disease that cannot be controlled despite conventional therapy.
Care Management
Can This Disease Be Cured?
Behcet's disease behaves in an unpredictable manner and the patient's condition may alternate between improving and worsening.
The condition can generally be controlled and complications can be prevented with appropriate medications and close follow-up with your attending specialists.
Specialties & Services

